بلاک عصبی به معنی قطع پیام رسانی عصبی است و معمولا برای جلوگیری از درد و درمان سندروم های درد مختلف با استفاده از تزریق مواد بی حسی و در مواردی کورتیکواستروئید ها (دسته ای از دارو های ضد التهابی) انجام می شود.
	آناتومی اعصاب نخاعی کمری
	اعصاب نخاعی اعصابی هستند که مستقیما از نخاع خارج می شوند. این اعصاب از بین مهره های ستون فقرات بیرون می آیند. اعصاب نخاعی کمری بعد از خروج از ستون فقرات به سمت لگن و پا ها حرکت می کنند و شاخه هایی انتهایی آن ها حس و حرکت این نواحی را تامین می کند.
	در تصویر زیر این اعصاب نشان داده شده اند:
	
	در ستون فقرات کمری هم مانند بقیه قسمت های ستون فقرات بین هر دو مهره یک دیسک قرار دارد. در بسیاری از موارد درد بیمار به دلیل تحت فشار قرار گرفتن خود عصب بیرون زدگی در دیسک های بین مهره ای است. به این بیماری رادیکولوپاتی کمری گفته می شود و درد آن در کمر و باسن و پا و در مواردی تا انگشتان پا احساس می شود.
	در تصویر زیر یک دیسک برون زده نشان داده شده است که عصب را تحت فشار قرار داده:
	
	برتری های تصویربرداری سونوگرافی
	تصویربردای سونوگرافی توانایی نشان دادن عروق محل تزریق را دارد و برخلاف تصویربرداری فلوروسکوپی می توان از آن برای جلوگیری از تزریق داخل عروقی استفاده کرد. دستگاه سونوگرافی با نشان دادن بافت نرم باعث تزریق دقیق تر، موثر تر و با عوارض جانبی کمتر می شود. یک برتری دیگر تصویربرداری سونوگرافی به تصویربردای فلوروسکوپی نبود پرتو های یونیزان است و امکان استفاده از این تصویربرداری برای خانم های حامله نیازمند تزریق وجود دارد. 
	کاربرد ها
	بلاک این اعصاب برای تشخیص و درمان درد کمری مزمن منتشر شونده به باسن و پا که احتمال می رود به دلیل درگیری اعصاب نخاعی باشد کابرد دارد. کاربرد تشخیصی به این صورت است که اگر درد بیمار بعد از انجام بلاک کنترل شود یعنی منشا درد از این عصب بوده است.
	اگر درد بیمار بعد از بلاک موقت کنترل شود ولی در طولانی مدت عود کند، نیاز به بلاک دائمی با  امواج رادیویی است. در این روش به جای تزریق مواد بی حسی از سوزنی استفاده میشود که با امواج رادیویی عصب را تخریب می کند. همچنین قبل از انجام بلاک دائمی از بلاک موقت برای پیشبینی اثر بخشی بلاک دائمی استفاده می شود.
	ممنوعیت ها
	این تزریق نباید برای افرادی که به دارو های لازم برای تزریق حساسیت دارند انجام شود. در افرادی که به دلیل بیماری ای دیگر (مانند بیماری قلبی) دارو های ضد انعقاد مصرف می کنند باید تحت نظر پزشک مدتی دارو قطع شود تا خطر خونریزی بعد از تزریق کاهش یابد. تزریق در محلی که عفونت پوستی فعال وجود دارد باید تا بعد از درمان عفونت عقب انداخته شود. همچنین در افرادی که به دلیل جراحی یا مادرزادی آناتومی ناحیه بهم ریخته است این بلاک باید با دقت بیشتری انجام شود.
	نحوه انجام بلاک
	در حین انجام این بلاک از تصویر برداری همزمان سونوگرافی برای اطمینان از ورود سوزن به محل صحیح استفاده می شود. بیمار به شکم، به صورتی که محل تزریق بالا قرار بگیرد، می خوابد و سپس پزشک با لمس کمر محل تزریق را مشخص می کند و محل ورود سوزن با بتادین استریل می شود.
	با استفاده از تصویربرداری سونوگرافی محل عصب مشخص می شود. در نهایت سوزن وارد کمر می شود و تحت گاید سونوگرافی به سمت محل عصب هدایت می شود و تزریق انجام می شود.
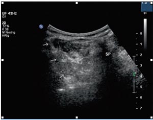
	نحوه انجام بلاک:
	
	تصاویر سونوگرافی حین انجام بلاک:
	
	
	عوارض جانبی احتمالی:
	احتمال تزریق در فضای های عمقی تر ستون فقرات و بی حسی نخاع پایین است احتمال تزریق داخل عروق اطراف عصب نیز به دلیل مشاهده عروق توسط دستگاه سونوگرافی هم اندک است. عارضه احتمالی دیگر این تزریق آسیب دیدن عروق خونریزی آن ها، آسیب به خود نخاع و اعصاب خارج شونده است. می توان توان با کمک از دستگاه سونوگرافی و مشاهده سوزن در تمام طول تزریق به آسانی جلوی این عوارض را گرفت.
	ایجاد عفونت بعد از تزریق نادر است و اکثرا در افرادی که نقص ایمنی دارند (افراد مبتلا به ایدز یا سزطان) اتفاق می افتد و می توان با استفاده از وسایل استریل و شستن محل تزریق با بتادین قبل از ورود سوزن به راحتی جلوی آن را گرفت.