بلاک شبکه عصبی هایپوگاستریک (Hypogastric) با ترانس دیسکال (Transdiscal) تحت هدایت CT Scan
بلاک عصب به معنی مسدود کردن انتقال های پیام درد با استفاده از تزریق مواد بی حسی (در بلاک موقتی) و مواد تخریب کننده عصب (در بلاک دائمی) گفته می شود. در مواردی دارو های ضد التهابی نیز به محل عصب تزریق می شوند که باعث کاهش التهاب عصب و شروع فرآیند بهبودی می شوند.
آناتومی شبکه عصبی هایپوگاستریک
سیستم عصبی بدن به دو نوع ارادی و خودکار تقسیم می شود که قسمت خودکار نیز از دو بخش سمپاتیکی و پاراسمپاتیکی تشکیل شده است. ستون فقرات در پایین به استخوان ساکروم (Sacrum، استخوان پشتی لگن) متصل می شود که در جلوی محل اتصال ستون فقرات به این استخوان شبکه عصبی هایپوگاستریک قرار دارد. این شبکه عصبی از به هم رسیدن تعدادی از اعصاب سمپاتیکی ستون فقرات کمری تشکیل می شود و مسئولیت عصب دهی به احشا داخل لگن مانند انتهای روده بزرگ را بر عهده دارد. در بین مهره های ستون فقرات دیسک های بین مهره ای قرار دارند که وظیفه آن ها نرم تر کردن حرکات مهره ها و جلوگیری از برخورد مستقیم استخوان های مهره ها با یک دیگر است.
در تصویر زیر این شبکه عصبی در محل اتصال انتهای پایینی ستون فقرات به استخوان ساکروم با هایلایت سبز نشان داده شده اند:

برتری های تصویربرداری CT Scan
در گذشته به دلیل عدم دسترسی به تصویربرداری های همزمان حین تزریق، اکثر تزریقات مدیریت درد با استفاده از مشخص کردن ساختار های آناتومیک بدن با لمس محل تزریق انجام می شدند. عیب این روش ها دقت پایین آن ها در مشخص کردن محل دقیق تزریق و امکان اشتباه قرار گرفتن سوزن داخل بدن (به دلیل عدم مشاهده آن با تصویربرداری همزمان) است.
در حال حاضر از تصویربرداری های همزمان بسیاری مانند فلوروسکوپی، سونوگرافی و CT Scan برای مشاهده ساختار های داخلی بدن و هدایت سوزن به سمت هدف استفاده می شود. تصویربرداری CT Scan یکی از دقیق ترین روش های انجام تصویربرداری همزمان حین تزریقات است. CT Scan برتری هایی نسبت به دیگر روش ها دارد که از بین آن ها می توان به دقت بسیار بالا، نشان دادن بافت نرم و سخت به صورت همزمان و امکان استفاده از کنتراست اشاره کرد.
همچنین پزشک می تواند با مشاهده ساختار های داخل قبل از تزریق، روش مناسب را برای بیمار انتخاب کند. استفاده از تصویربرداری همزمان دقت و موفقیت تزریق را بالا می برد، عوارض جانبی احتمالی را به شدت کاهش می دهد و به دلیل بالا تر رفتن دقت تزریق، میزان داروی مورد نیاز برای اثربخشی تزریق کاهش پیدا می کند. به دلیل استفاده از پرتو های یونیزان در این نوع تصویربرداری، استفاده از آن در خانم های باردار توصیه نمی شود.
کاربرد ها
بلاک شبکه عصبی هایپوگاستریک برای تشخیص و درمان دردهای احشا داخل لگن مانند درد مقعد، اندورمتریوزیس، تومورهای داخل لگن، رفلکس سمپاتیکی دیستروفی (اختلال اعصاب سمپاتیکی که باعث درد و سوزش می شود) و التهاب روده به دلیل پرتودرمانی کاربرد دارد. کاربرد تشخیصی به این صورت است که اگر بعد از انجام بلاک درد بیمار کنترل شد یعنی عصب ساکرال بلاک شده در ایجاد درد برای بیمار یا انتقال پیام های درد نقش داشته است. در صورتی که برای کنترل درد نیاز به انجام بلاک دائمی باشد (مانند افراد مبتلا به سرطان های داخل لگنی) می توان با انجام بلاک موقتی شبکه عصبی هایپوگاستریک، میزان بی دردی بعد از انجام بلاک دائمی را پیشبینی کرد.
دیگر استفاده بلاک شبکه هایپوگاستریک در کنترل درد های حاد و اورژانسی مانند درد های ناشی از هرپس زوستر (زونا)، نورالژی (اختلال عصب که باعث درد می شود) بعد از هرپس زوستر و درد های ناشی از سرطان است.
در تصویر زیر زونای ناحیه باسن نشان داده شده است:

ممنوعیتها
در بیماران با اختلال انعقادی (به دلیل مصرف دارو و یا بیماری) باید قبل از انجام تزریق اختلال را برطرف کرد. در مواردی که اختلال انعقادی به علت دارو باشد (مانند افرادی که دارو های قلبی مصرف می کنند) باید با صلاح دید پزشک این دارو ها قبل از انجام تزریق قطع شوند. در صورت ابتلا بیمار به ضعف سیستم ایمنی (افراد مبتلا به دیابت، سرطان، ایدز، مصرف طولانی کورتیکواستروئید ها) باید در پیگیری ها به دنبال نشانه های عفونت گشت تا در صورت بروز درمان شود. تزریق در صورت ابتلا بیمار به عفونت محل تزریق و یا عفونت گسترده در بدن ممنوع است و باید بعد از درمان عفونت انجام شود.
نحوه انجام بلاک
برای انجام بلاک شبکه عصبی هایپوگاستریک با روش ترانس دیسکال سوزن از کنار خط وسط، به سمت دیسک بین مهره ای مجاور شبکه عصبی هایپوگاستریک هدایت می شود و بعد از تزریق دارو ها، با منتشر شدن دارو ها به سمت جلوی دیسک، بلاک شبکه عصبی هایپوگاستریک انجام می شود.
بیمار به حالت خوابیده به شکم قرار می گیرد تا باسن به سمت بالا قرار بگیرد و دسترسی به ستون فقرات آسان تر شود. بعد از قرارگیری بیمار در حالت مناسب با لمس استخوان های ستون فقرات و پشت لگن و تصویربرداری فلوروسکوپی محل ورود سوزن مشخص می شود. در نهایت سوزن با هدایت فلوروسکوپی وارد بافت می شود و بعد از اطمینان از درست بودن محل نوک سوزن تزریق انجام می شود.
نحوه انجام بلاک:

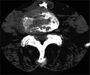
تصاویر CT Scan سوزن در محل دیسک بین مهره ای:


عوارض جانبی احتمالی و روش های پیشگیری
تمام بیماران بعد از انجام تزریق تا مدتی تحت نظر قرار می گیرند تا اثربخشی تزریق ارزیابی شود و از اتفاق نیافتادن عوارض جانبی احتمالی اطمینان حاصل شود. به دلیل وجود عروق بسیار در بافت محل تزریق ممکن است هماتوم (تجمع خون در بافت) ایجاد شود. برای جلوگیری از تشکیل هماتوم می توان از سوزن های نازک، گذاشتن پک های سرد روی محل تزریق تا 20 دقیقه و یا فشار دادن محل ورود سوزن بعد از تمام شدن تزریق استفاده کرد.
با کمک تصویربرداری همزمان CT Scan و مشاهده سوزن در تمام طول مدت تزریق، آسیب دیدن ساختار های مجارو مانند شریان و ورید های ناحیه (که می تواند باعث خونریزی خود محدود شونده شود)، آسیب دیدن احشا داخل لگنی مانند رحم و یا آسیب دیدن اعصاب نخاعی و دیسک های بین مهره ای به ندرت اتفاق می افتد و می توان از این گونه عوارض جلوگیری کرد. دیگر عارضه احتمالی این تزریق افزایش درد موقتی است که در بعضی از بیماران اتفاق می افتد و به دلیل ورود سوزن به بافت است و خود به خود بهبود پیدا می کند. عفونت محل تزریق به ندرت و اکثرا در بیماران با نقص سیستم ایمنی (دیابت، سرطان، ...) اتفاق می افتد و به دلیل انجام پروسیجر به صورت استریل نادر است.