بلاک به معنی قطع پیام رسانی اعصاب است و معمولا برای جلوگیری از درد و درمان سندروم های درد مختلف با استفاده از تزریق مواد بی حسی و در مواردی کورتیکواستروئید ها (دسته ای از دارو های ضد التهابی) انجام می شود.
آناتومی گانگلیون ایمپار
استخوان ساکروم (Sacrum) استخوانی در انتهای ستون فقرات است. این استخوان در پشت لگن قرار دارد و از بالا به مهره های ستون فقرات و از کناره ها به استخوان های لگن متصل می شود. در تصویر زیر محل این استخوان نشان داده شده است:

گانگیون ها گره های عصبی هستند که تعدادی رشته عصب به آن ها وارد می شوند و بعد از یکی شدن با یک دیگر شاخه های جدیدی از گانگلیون خارج می شوند. گانگلیون های سمپاتیکی در جلو/کنار مهره های ستون فقرات قرار دارند. شاخه های ورودی به این گانگیون ها مستقیما از اعصاب نخاعی (spinal nerves، اعصابی که از نخاع خارج می شوند و با عبور از فاصله بین مهره های ستون فقرات به سمت اندام های هدفشان حرکت می کنند) منشا می گیرند. همچنین خود این گانگلیون ها با یکدیگر ارتباط دارند و شاخه های نهایی خارج شده از آن ها به سمت ارگان های بدن حرکت می کند و بسیاری از فعالیت های خودکار بدن را کنترل می کنند. همچنین بسیاری از پیام های درد از طریق این گانگلیون ها می شوند.
در تصویر زیر این گانگلیون ها (paravertebral ganglion) به همراه ساختار های مجاورشان نشان داده شده اند:

در پایین ستون فقرات، دقیقا در انتهای استخوان ساکروم ، از به هم رسیدن شاخه های متعددی از این زنجیره گانگلیونی گانگلیون ایمپار تشکیل می شود. از این گانگلیون اعصابی خارج می شود که به سمت پایین می آیند و به کف لگن، مقعد و کیسه بیضه، یک سوم بیرونی واژن و مجاری ادراری عصب دهی می کنند. نام دیگر این گانگلیون، گانگلیون والتر یا گانگلیون ساکروکوکسیژیال است. در تصویر زیر این گانگلیون نشان داده شده است:

محل این گانگلیون نسیت به استخوان ساکروم می تواند در افراد مختلف متفاوت باشد و بالاتر و یا پایین تر قرار بگیرد. در تصویر زیر درصد احتمالی محل قرارگیری گانگلیون ایمپار به نسبت استخوان ساکروم در محل های مختلف نشان داده شده است:

تصویربرداری در تزریقات مدیریت درد
به طور کلی موفقیت بلاک هایی که برای کنترل و درمان سندورم های درد انجام می شوند به دقت تزریق بستگی دارد. دو نوع کلی انجام تزریقات استفاده از آناتومی سطحی برای مشخص کردن محل تزریق (روش بلایند) و استفاده از تصویربرداری همزمان هستند. در روش بلایند به دلیل آن که ساختار های داخلی در هنگام تزریق دیده نمی شوند امکان اشتباه قرار گرفتن محل سوزن بیشتر است. این روش ها به عنوان روش های کلاسیک انجام تزریق شناخته می شوند و به مرور زمان به دلیل افزایش دقت تصویربرداری های مختلف امروزه کمتر مورد استفاده قرار می گیرند. استفاده از تصویربرداری همزمان به پزشک اجاره می دهد تا آناتومی ناحیه تزریق را قبل از ورود سوزن برسی کند و تزریق دقیق تری انجام دهد که باعث کمتر اذیت شدن بیمار حین انجام تزریق، بلاک با کیفیت تر و طولانی تر، کاهش مقدار داروی مورد نیاز برای تزریق و کاهش عوارض جانبی می شود. از تصویربرداری هایی که به صورت گسترده برای انجام بلاک های مختلف از آن ها کمک گرفته می شود می توان به سونوگرافی، فلوروسکوپی و CT Scan اشاره کرد.
برتری های تصویربرداری سونوگرافی
از بین تصویربرداری هایی که برای انجام بلاک استفاده می شوند، تصویربرداری سونوگرافی از همه در دسترس تر است و به دلیل نبودن پرتو های یونیزان در این تصویربرداری و عدم نیاز به تزریق ماده حاجب ریسک کمتر نسبت به بقیه دارد. تصویربردای سونوگرافی توانایی نشان دادن عروق محل تزریق را دارد و می توان از آن برای جلوگیری از تزریق داخل عروقی استفاده کرد.علاوه بر توانایی نشان دادن عروق، دستگاه سونوگرافی با نشان دادن اعصاب و دیگر ساختار های بافت نرم ناحیه حین انجام تزریق امکان تزریق دقیق تر و موثر تر با عوارض جانبی کمتر را فراهم می کند. یک برتری دیگر تصویربرداری سونوگرافی به تصویربردای فلوروسکوپی نبود پرتو های یونیزان است و امکان استفاده از این تصویربرداری برای خانم های حامله نیازمند تزریق وجود دارد. لازم به ذکر است که در افرادی که علت جراحی یا به صورت مادرزادی آناتومی به هم ریخته و غیرطبیعی دارند ممکن است بسته به نظر پزشک نوع تصویربرداری برحسب بیمار متفاوت باشد.
در یکی از مطالعات انجام شده از جهت مقایسه تصویربرداری فلوروسکوپی و سونوگرافی در 15 بیمار که نیازمند انجام بلاک گانگلیون ایمپار بودند تصویربرداری سونوگرافی توانست در هر 15 بیمار محل مفصل استخوان ساکروم و استخوان دنبالچه (محل قرارگیری گانگلیون ایمپار) را نشان بدهد، در حالی که تصویربرداری فلوروسکوپی در 5 بیمار در نشان دادن آسان محل دقیق مفصل ساکروم و استخوان دنبالچه ناموفق بود. علت این اتفاق مختل شدن تصویربرداری فلوروسکوپی به دلیل تجمع گاز یا مدفوع داخل کانال مقعد و یا رسوب کلیسم در دیسک های بین استخوان های ساکروم و دنبالچه گزارش شده است که تمامی این موارد می توانند دقت تصویربرداری فلوروسکوپی را کاهش دهند. لازم به ذکر است که تصویربرداری سونوگرافی نمی تواند به خوبی تصویربرداری فلوروسکوپی عمق ورود سوزن به داخل استخوان را نشان دهد و در نهایت انتخاب نوع تصویربرداری بسته به شرایط بیمار ممکن است متفاوت باشد.
کاربرد ها
این بلاک برای تشخیص و درمان درد های کف لگن، با یا بدون بدخیمی، درد ناحیه مقعد، درد های واژن و ناحیه اطراف آن، درد ناحیه بیضه ها، سندروم درد پیچیده منطقه ای Complex regional pain syndrome))، درد ناشی از آندومتریوز، درد لگن ناشی از دریافت پرتودرمانی و نورالژی (اختلال عصبی که باعث درد می شود) بعد از هرپس استفاده می شود.
بسته به پاسخ دادن یا عدم پاسخ بیمار به بلاک می توان منشا درد را مشخص کرد، به این صورت که درصورت کنترل شدن درد، پیام های درد از گانکلیون ایمپار که بلاک شده است منتقل می شدند. بلاک دائمی (چه با تزریق مواد تخریب کننده عصب و چه تخریب عصب با روش رادیوفرکوئنسی (استفاده از سوزن هایی که با امواج رادیویی عصب را تخریب می کنند)) این گانگلیون برای درد های لگنی ناشی از سرطان و تومور استفاده می شود. برای پیشبینی اثربخشی بلاک دائمی ابتدا از بلاک موقت استفاده می شود و درصورت بهبود درد بیمار بعد از بلاک موقت از بلاک دائمی استفاده می شود.
ممنوعیت ها
در افرادی که به دلیل بیماری ای دیگر (مانند بیماری قلبی) دارو های ضد انعقاد مصرف می کنند باید تحت نظر پزشک مدتی دارو قطع شود تا خطر خونریزی بعد از تزریق کاهش یابد. تزریق در محلی که عفونت پوستی فعال وجود دارد باید تا بعد از درمان عفونت عقب انداخته شود.
همچنین در افرادی که به دلیل جراحی یا مادرزادی آناتومی ناحیه بهم ریخته است این بلاک باید با دقت بیشتری انجام شود. این تزریق نباید برای افرادی که به دارو های لازم برای تزریق حساسیت دارند یا در مسیر عبور سوزن تومور دارند، انجام شود.
بررسی ها و آماده سازی های قبل از تزریق
قبل از انجام تزریق بیمار از جهت نوع درد و علائم عصبی و سلامت قلبی و ریوی مورد معاینه قرار می گیرد. اگر بیمار دارو ضد انعقاد مصرف می کند، با تشخیص پزشک دارو ها چند روز قبل از انجام بلاک قطع می شوند تا لخته شدن خون بیمار به حالت عادی برگردد. بسته به شرایط بیمار ممکن است لازم باشد تا ابتدا با تصویربرداری MRI و یا CT scan و یا X-Ray آناتومی ناحیه مورد بررسی قرار می گیرد و سپس تزریق انجام می شود. در بیماران دیابتی نیز باید قبل از انجام بلاک از کنترل بودن قند خون اطمینان حاصل کرد. بر اساس شرح حال بیمار و تشخیص پزشک آزمایشات دیگری مانند شمارش کامل سلول های خونی نیز انجام می شود.
نحوه انجام بلاک
روش معمولا انجام بلاک گانگلیون ایمپار تحت گاید سونوگرافی روش ترانس ساکروکوکسیژیال (Trans-sacrococcygeal) است. در این روش بلاک سوزن از سمت پشت لگن و از بین مفصل ساکروکوکسیژیال (بین استخوان ساکروم و دنبالچه) به سمت گانگلیون ایمپار هدایت می شود.
بیمار به شکم می خوابد و پا ها کمی به سمت داخل چرخانده می شوند تا دسترسی به محل تزریق آسان تر شود، سپس پزشک با لمس پشت لگن بیمار محل تزریق را مشخص می کند. بعد از مشخص کردن محل ورود سوزن، پوست بیمار با بتادین استریل می شود و سوزن وارد بافت می شود. بعد از تنظیم کردن محل نوک سوزن داخل بافت تحت هدایت سونوگرافی تزریق انجام می شود.
نحوه قرارگیری بیمار:

محل قرارگیری پروب سونوگرافی:

انجام تزریق:


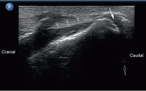
تصویر سونوگرافی سوزن در محل گانگلیون ایمپار:

بررسی های بعد از تزریق
تمام بیماران بعد از انجام تزریق از جهت بررسی اثربخشی بلاک و بروز عوارض جانبی احتمالی تزریق تحت نظر قرار می گیرد. با اینکه اکثر بیماران بعد از انجام بلاک بی دردی پیدا می کنند، بعضی از بیمارن افزایش درد موقتی بعد از انجام بلاک را تجربه می کنند که به دلیل ورود سوزن به بافت است و همراه با درد اصلی بیماری بعد از مدت کوتاهی از بین می رود. به بیماران توصیه می شود تا در صورت افزایش درد و یا تب که می تواند نشانه عفونت باشد به پزشک مراجعه کنند.
عوارض جانبی احتمالی
عوارض ناشی از این بلاک بسیار نادر هستند و این تزریق جزو تزریقات امن به حساب می آید. به دلیل استفاده از تصویربرداری همزمان سونوگرافی و مشاهده سوزن در تمام طول مدت تزریق، احتمال درست نبودن محل سوزن بسیار کم است و عوارض ناشی از آن، از جمله آسیب به ریشه های اعصاب و شریان های ناحیه، تزریق داخل شریانی، التهاب دیسک بین مهره ای به دلیل آسیب توسط سوزن و آسیب دیدن مقعد و روده، به ندرت اتفاق می افتند.
از دیگر عوارض نادر این بلاک که می تواند به ایجاد بی اختیاری ادرار یا مدفوع اشاره کرد که در صورت آسیب دیدگی اعصاب ناحیه ممکن است اتفاق بیافتد اما با استفاده از تصویربرداری همزمان به ندرت این عارضه ایجاد می شود. عارضه احتمالی دیگر این بلاک ایجاد کبودی یا هماتوم (تجمع خون در بافت) است که به دلیل پرخون بودن بافت اتفاق می افتد. اما می توان با وارد کردن فشار بعد از انجام بلاک روی محل تزریق جلوی این عوارض را گرفت. استفاده از سوزن های نازک هم باعث کاهش احتمال تشکیل هماتوم می شود. همچنین می توان از پک های سرمازا استفاده کرد. این پک ها درد بعد از تزریق را هم کاهش می دهند. ایجاد عفونت بعد از تزریق نادر است (و در افراد با نقص ایمنی مانند افراد مبتلا به ایدز یا سرطان یا دیابت که قند خونشان تحت کنترل نیست بیشتر اتفاق می افتد) و می توان با استفاده از وسایل استریل و شستن محل تزریق با بتادین قبل از ورود سوزن به راحتی جلوی آن را گرفت.